

Ob Zahnspange, Implantate, Kronen, Brücken oder Bleaching. Ein strahlendes Lächeln kann dank moderner ästhetischer Zahnmedizin bei fast allen möglich gemacht werden. Ein besonderes Interesse liegt der Zeit bei den hauchdünnen Verblendschalen den sogenannten Veneers. Die zahnfarbene Keramik kann bei defekten, verfärbten oder nicht harmonisch stehenden Zähnen angewendet werden. Aber auch kleine Lücken lassen sich mit Veneers auffüllen und abgebrochene Ecken ausbessern. So erhalten Sie ein natürliches, dauerhaftes und schönes Lächeln!
Veneers sind hauchdünne (ca. 0,5 mm) lichtdurchlässige Verblendschalen aus Keramik (Facetten). Also einem hochwertigen und verträglichen Material. Der Begriff kommt aus dem englischen und heißt übersetzt Furnier. Ein Furnier ist eine dünne Schicht, die auf etwas aufgetragen wird. Diese stellt der Zahnarzt nach einem Abdruck oder Scan im Labor her und klebt sie mit einem speziellen Adhäsiv-Verfahren auf die Vorderseite der Frontzähne auf. Dabei deckt die Keramik-Facette den natürlichen Zahn im gesamten, sichtbaren Bereich ab.
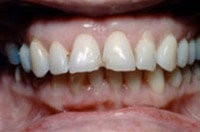
Durch die chemische Verbindung zwischen Keramik und Zahnschmelz entsteht eine lichtdurchlässige, zahnfarbene Einheit mit unvergleichlich natürlicher Ästhetik. Selbst ein Zahnarzt hat manchmal Mühe, mit Keramikveneers versorgte von unbehandelten Zähnen zu unterscheiden.

Im Vergleich zur herkömmlichen Krone ist das Verfahren viel zahnschonender, da der Zahnarzt erheblich weniger Zahnsubstanz abschleifen muss. Außerdem sind Veneers belastbar und langlebig.
Ihr Hauptvorteil liegt aber in der hervorragenden Ästhetik, die einer Krone mit Metallkern weit überlegen ist. Im Gegensatz zur Krone ist der Übergang von der hauchdünnen Keramikschale zum Zahn praktisch unsichtbar. Eine Verlegung unter das Zahnfleisch ist daher nicht nötig. Das von Kronen bekannte Problem von Zahnfleischentzündung, nachfolgendem Zahnfleischrückgang und dadurch freiliegenden Kronenrändern gibt es beim Veneer nicht. Bei sehr dunklen Zähnen empfiehlt sich vor der Behandlung mit Keramikveneers eine schonende Bleichung, um störende Farbeffekte zu vermeiden.
Um die passgenauen Schalen für Ihre Zähne vorzubereiten, muss sich Herr Dr. Rüffert einen allgemeinen Überblick über den Zustand Ihrer Zähne machen. Denn nur gesunde Zähne können mit Veneers verblendet werden. Sind Ihre Zähne in einem guten Zustand, können Sie Ihre Vorstellungen und Wünsche äußern. Herr Rüffert erklärt Ihnen gerne die Möglichkeit und Grenzen der Behandlung.
Anschließend wird für die Vorbereitung der Schalen, die Größe, Zahnfarbe wie auch die Form besprochen und Ihre Zähne werden vermessen. Vor dem eigentlichen Anbringen der Glaskeramikschalen wird ein Abdruck oder ein Scan für die Anfertigung der "Hauptveneers" benötigt. Dazu muss Dr. Rüffert etwas vom Zahnschmelz abtragen. Anschließend werden die Daten wie die Abformung und Farbe an den Zahntechniker im Dentallabor übermittelt. Dort gießt dieser die Abformung mit Gips aus. Das Gipsmodell dient zur genauen Verarbeitung der Veneers. Da diese handgefertigt werden, dauert der Fertigungsprozess ca. ein bis zwei Wochen. Für diese Zeit erhalten Sie ein Provisorium.
Sobald die Schalen fertig sind, wird das Provisorium vom Zahnarzt Dr. Rüffert wieder abgenommen. Die Zähne werden gründlich gereinigt und sind somit bereit für die dauerhaften Veneers. Das Veneer wird geätzt, gründlich mit Wasser abgespült und luftgetrocknet. Der Klebstoff wird auf die präparierte Stelle aufgetragen, Zement und Veneer werden platziert und passgenau aufgesetzt.
Anschließend wird das Veneer auf allen Oberflächen einige Sekunden lang lichtgehärtet, um es mit der Zahnhartsubstanz zu verbinden. Zum Schluss wird das überschüssige Material entfernt und die Ränder der angebrachten Veneers poliert.
Bei Non-Prep-Veneers werden die Zähne unbehandelt, mit den Keramikschalen verbunden. Ihre Zähne werden somit nicht beschliffen, die eigene Zahnsubstanz bleibt vollständig erhalten und es ist kein Provisorium notwendig. Die zahnärztliche Behandlung ist schnell, nicht invasiv und innerhalb kürzester Zeit können Sie wieder strahlend lachen.
Veneers sind das Mittel der Wahl, um Frontzähne zu behandeln. Beseitigung von leichten Fehlstellungen, Lücken, Korrekturen von Form und Farbe gelingen mit hervorragenden, ästhetischen Resultaten.

Einmal vom Zahnarzt eingeklebt, sind die Keramikfacetten extrem beständig. Sie verfärben nicht und bedürfen keiner Pflege, die über die normale, regelmäßige und effiziente Mundhygiene hinausgeht. Auch bei Veneers wird eine regelmäßige professionelle Zahnreinigung empfohlen.






Vereinbaren Sie jetzt einen Termin für Ihr perfektes Lächeln und lassen Sie sich persönlich und individuell in unserer zahnärztlichen Praxis in Braunschweig von Dr. Rüffert beraten.
Weitere Informationen zur ästhetischen Zahnheilkunde und dem Veneering / Einsatz von Veneers finden Sie auch in folgendem PDF von Zahnarzt Dr. Rüffert – Zahnarztpraxis in Braunschweig.